دستگاه سونوگرافی

سونوگرافی داپلر چیست و چه کاربردهایی در پزشکی مدرن دارد؟

در دنیای شگفت‌انگیز تصویربرداری پزشکی، سونوگرافی استاندارد به مثابه یک پنجره شفاف به داخل بدن انسان عمل می‌کند. این فناوری به پزشکان اجازه می‌دهد تا ساختار اندام‌های داخلی، بافت‌های نرم و آناتومی بدن را بدون استفاده از اشعه‌های مضر و به صورت غیرتهاجمی مشاهده کنند. اما اگر بخواهیم یک قدم فراتر برویم و نه تنها ساختار ایستا، بلکه حرکت، جریان و پویایی حیات را در این اندام‌ها ببینیم چه؟ اینجاست که سونوگرافی داپلر به عنوان یک ابزار تشخیصی انقلابی و قدرتمند وارد میدان می‌شود.

این فناوری پیشرفته، که نام خود را از “اثر داپلر” در فیزیک گرفته است، به پزشکان این امکان را می‌دهد که جریان خون را در شریان‌ها و وریدها مشاهده، اندازه‌گیری و تحلیل کنند.1 این قابلیت منحصربه‌فرد، سونوگرافی داپلر را به یکی از حیاتی‌ترین ابزارها در تشخیص، مدیریت و پیگیری طیف وسیعی از بیماری‌ها، از مشکلات پیچیده قلبی-عروقی و تشخیص لخته‌های خونی خطرناک گرفته تا نظارت بر سلامت و رشد جنین در بارداری‌های پرخطر، تبدیل کرده است.2

این راهنمای جامع به طور کامل به این موضوع می‌پردازد که سونوگرافی داپلر چیست، بر چه اصول فیزیکی استوار است، چه انواعی دارد و چگونه در شاخه‌های مختلف پزشکی مدرن، نقشی بی‌بدیل ایفا می‌کند.

 

۱. تفاوت بنیادین: دیدن ساختار در برابر دیدن جریان

 

برای درک کامل قدرت سونوگرافی داپلر، ابتدا باید تفاوت آن را با سونوگرافی معمولی (که به آن حالت B-Mode یا Brightness Mode نیز گفته می‌شود) درک کنیم. تفاوت اصلی در ماهیت اطلاعاتی است که هر یک از این روش‌ها ارائه می‌دهند.

  • سونوگرافی معمولی (B-Mode): این روش تصاویری دو بعدی، سیاه و سفید و ایستا از ساختار و آناتومی اندام‌های داخلی تولید می‌کند.3 به عبارت دیگر، به ما می‌گوید یک رگ خونی، یک دریچه قلب یا کبد کجاست و چه شکل و اندازه‌ای دارد. این مانند نگاه کردن به یک عکس باکیفیت از یک رودخانه است؛ شما می‌توانید بستر رود، کناره‌ها و موانع را ببینید.
  • سونوگرافی داپلر: این روش یک لایه اطلاعاتی پویا و حیاتی به تصاویر استاتیک اضافه می‌کند: جریان خون.3 سونوگرافی داپلر به ما می‌گوید خون با چه سرعتی، در چه جهتی و با چه الگویی در آن رگ یا از آن دریچه عبور می‌کند.2 این مانند تماشای یک ویدیوی زنده از همان رودخانه است؛ شما می‌توانید سرعت آب، گرداب‌ها و مسیر حرکت آن را به وضوح مشاهده کنید.

این تکنیک با بهره‌گیری از اصول فیزیکی “اثر داپلر” کار می‌کند. دستگاه امواج صوتی با فرکانس بالا را به سمت عروق خونی ارسال می‌کند. این امواج پس از برخورد با گلبول‌های قرمز در حال حرکت، بازتاب می‌شوند. فرکانس امواج بازگشتی بسته به جهت و سرعت حرکت گلبول‌های قرمز تغییر می‌کند و دستگاه با تحلیل این تغییر فرکانس، اطلاعات دقیقی از جریان خون ارائه می‌دهد.3 همین قابلیت است که تشخیص مشکلاتی مانند لخته‌های خونی، انسداد عروق یا نارسایی دریچه‌های قلبی را که در سونوگرافی معمولی کاملاً نامرئی هستند، ممکن می‌سازد.1

 

۲. انواع مختلف سونوگرافی داپلر: جعبه ابزاری برای تشخیص دقیق

 

فناوری داپلر یک ابزار واحد نیست، بلکه مجموعه‌ای از تکنیک‌های مختلف است که هر کدام برای پاسخ به یک نیاز تشخیصی خاص طراحی شده‌اند. پزشک متخصص بر اساس شرایط بیمار و سوال بالینی، از یک یا ترکیبی از این روش‌ها استفاده می‌کند.

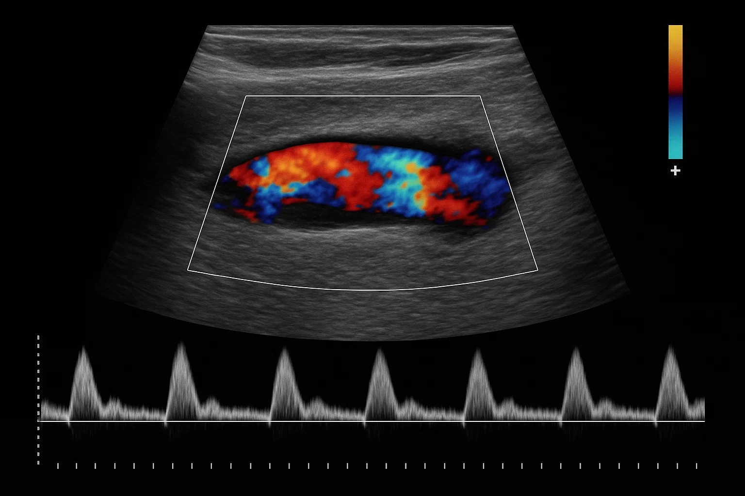
  • کالر داپلر (Color Doppler): این رایج‌ترین و شناخته‌شده‌ترین نوع داپلر است. در این روش، کامپیوتر دستگاه، اطلاعات مربوط به جهت و سرعت جریان خون را به رنگ‌های مختلف تبدیل کرده و روی تصویر سیاه و سفید سونوگرافی معمولی قرار می‌دهد.4 طبق یک قرارداد استاندارد، رنگ قرمز نشان‌دهنده جریان خون به سمت پروب (مبدل) و رنگ آبی نشان‌دهنده جریان خون در جهت مخالف آن است (قانون BART: Blue Away, Red Toward).5 شدت و روشنایی رنگ نیز می‌تواند نشان‌دهنده سرعت جریان باشد. این نمایش بصری و رنگی به پزشک اجازه می‌دهد تا به سرعت و به صورت شهودی، محل، جهت و وجود جریان خون را در یک ناحیه وسیع ارزیابی کند.
  • پاور داپلر (Power Doppler): این نوع، نسخه‌ای حساس‌تر از کالر داپلر است و می‌تواند جریان خون بسیار آهسته یا جریان در عروق بسیار کوچک را که ممکن است در کالر داپلر استاندارد دیده نشود، تشخیص دهد.3 اگرچه پاور داپلر اطلاعاتی در مورد جهت جریان خون ارائه نمی‌دهد، اما به دلیل حساسیت بالای خود، برای بررسی خون‌رسانی به اندام‌هایی با عروق ظریف مانند کلیه‌ها، بیضه‌ها یا ارزیابی خون‌رسانی به تومورها بسیار ارزشمند است.8
  • داپلر طیفی (Spectral Doppler): این روش، دقیق‌ترین و کمی‌ترین اطلاعات را در مورد جریان خون ارائه می‌دهد. به جای نمایش رنگی، داپلر طیفی اطلاعات جریان خون را به صورت یک نمودار گرافیکی نمایش می‌دهد که در آن، سرعت خون (در محور عمودی) در طول زمان (در محور افقی) رسم می‌شود.8 این نمودار که “شکل موج داپلر” نامیده می‌شود، به پزشک اجازه می‌دهد تا تحلیل‌های بسیار دقیقی از الگوهای جریان خون انجام دهد، سرعت دقیق خون را اندازه‌گیری کند و شدت تنگی (استنوز) یا نارسایی (رگورژیتاسیون) را به صورت کمی مشخص نماید.
  • داپلر دوبلکس (Duplex Doppler): این روش در واقع ترکیبی قدرتمند از سونوگرافی معمولی (B-Mode) برای نمایش ساختار آناتومیک رگ و داپلر طیفی برای تحلیل جریان خون درون آن است.3 این ترکیب به پزشک یک نمای جامع و همزمان از “ساختار” و “عملکرد” عروق می‌دهد.
  • داپلر موج پیوسته (Continuous Wave Doppler): در این تکنیک خاص، پروب به طور مداوم امواج صوتی را ارسال و دریافت می‌کند. این روش برای اندازه‌گیری جریان‌های خونی با سرعت بسیار بالا، مانند آنچه در تنگی‌های شدید دریچه‌های قلب دیده می‌شود، کاربرد دارد، جایی که سایر انواع داپلر ممکن است با محدودیت مواجه شوند.9

 

۳. کاربردهای حیاتی سونوگرافی داپلر در پزشکی

 

قابلیت منحصربه‌فرد داپلر در ارزیابی غیرتهاجمی جریان خون، آن را به ابزاری کلیدی و اغلب خط اول تشخیصی در بسیاری از تخصص‌های پزشکی تبدیل کرده است.

 

تشخیص بیماری‌های عروقی

 

این حوزه، اصلی‌ترین و گسترده‌ترین کاربرد داپلر است. از این روش برای تشخیص و پیگیری موارد زیر استفاده می‌شود:

  • لخته‌های خونی: تشخیص ترومبوز ورید عمقی (DVT) در پاها، که یک وضعیت بالقوه خطرناک است و می‌تواند منجر به آمبولی ریه شود.1
  • تنگی یا انسداد شریان‌ها: ارزیابی شریان کاروتید در گردن برای تشخیص پلاک‌های آترواسکلروتیک که می‌توانند عامل سکته مغزی باشند.1
  • بیماری عروق محیطی (PAD): بررسی کاهش گردش خون در شریان‌های پاها که باعث درد و لنگیدن هنگام راه رفتن می‌شود.3
  • آنوریسم: تشخیص و نظارت بر گشادشدگی‌های غیرطبیعی در دیواره عروق، مانند آنوریسم آئورت شکمی.2
  • نارسایی وریدی: ارزیابی عملکرد ضعیف دریچه‌های وریدی در پاها که باعث ایجاد رگ‌های واریسی و ورم می‌شود.11

 

ارزیابی‌های قلبی (اکوکاردیوگرافی داپلر)

 

در کنار اکوکاردیوگرافی استاندارد که ساختار قلب را نشان می‌دهد، داپلر برای ارزیابی عملکرد قلب ضروری است و به تشخیص موارد زیر کمک می‌کند:

  • نقص دریچه‌های قلب: بررسی دقیق میزان نارسایی (پس زدن خون) یا تنگی دریچه‌ها.5
  • بیماری‌های مادرزادی قلب: شناسایی سوراخ‌ها یا ارتباطات غیرطبیعی بین حفرات قلب.8
  • ارزیابی عملکرد کلی قلب: محاسبه پارامترهای مهمی مانند برون‌ده قلبی و فشار خون در شریان‌های ریوی.5

 

نظارت بر سلامت جنین در بارداری

 

در دوران بارداری، به خصوص در موارد پرخطر، سونوگرافی داپلر نقشی حیاتی در ارزیابی سلامت جنین ایفا می‌کند.1

  • ارزیابی جریان خون جفت و بند ناف: این کار به پزشک کمک می‌کند تا از رسیدن اکسیژن و مواد مغذی کافی به جنین اطمینان حاصل کند.6
  • تشخیص محدودیت رشد داخل رحمی (IUGR): در مواردی که رشد جنین کمتر از حد انتظار است، داپلر می‌تواند به تشخیص علت و مدیریت شرایط کمک کند.16
  • غربالگری پره‌اکلامپسی (مسمومیت بارداری): بررسی جریان خون در شریان‌های رحمی مادر می‌تواند زنانی را که در معرض خطر بالای ابتلا به این عارضه جدی هستند، شناسایی کند.21

 

سایر کاربردهای مهم

 

  • ارزیابی پس از پیوند عضو: برای اطمینان از خون‌رسانی صحیح و موفقیت‌آمیز به عضو پیوندی مانند کلیه یا کبد.22
  • بررسی تومورها و کیست‌ها: ارزیابی میزان خون‌رسانی به یک توده می‌تواند در تشخیص خوش‌خیم یا بدخیم بودن آن و برنامه‌ریزی درمانی کمک‌کننده باشد.10
  • ارزیابی کلیه‌ها: تشخیص تنگی شریان کلیوی که می‌تواند یکی از دلایل فشار خون بالا باشد.5
  • اورولوژی: تشخیص اورژانسی پیچ‌خوردگی بیضه (تورشن) با بررسی وجود یا عدم وجود جریان خون.

 

۴. مزایا و محدودیت‌های سونوگرافی داپلر

 

سونوگرافی داپلر به دلایل متعددی به یک روش تصویربرداری محبوب و پرکاربرد تبدیل شده است:

  • ایمنی بالا و بدون اشعه: برخلاف سی‌تی اسکن و رادیوگرافی، در این روش از هیچ‌گونه اشعه یونیزان استفاده نمی‌شود و برای تمام بیماران، از جمله مادران باردار و کودکان، کاملاً ایمن است.17
  • غیرتهاجمی و بدون درد: این آزمایش کاملاً روی سطح پوست انجام می‌شود و نیازی به تزریق ماده حاجب (در اکثر موارد) یا ایجاد برش ندارد.2
  • ارائه تصاویر آنی (Real-time): پزشک می‌تواند جریان خون را به صورت زنده و پویا مشاهده و ارزیابی کند که این امر برای تشخیص‌های سریع و اورژانسی بسیار مهم است.3
  • هزینه مناسب و دسترسی گسترده: در مقایسه با روش‌های تصویربرداری پیشرفته دیگر مانند MRI و آنژیوگرافی، هزینه کمتری دارد و دستگاه‌های آن به طور گسترده در دسترس هستند.

با وجود تمام این مزایا، سونوگرافی داپلر دارای محدودیت‌هایی نیز هست:

  • وابستگی به اپراتور: کیفیت و دقت نتایج به شدت به مهارت و تجربه فردی که سونوگرافی را انجام می‌دهد (سونوگرافیست یا رادیولوژیست) بستگی دارد.25
  • محدودیت‌های فیزیکی بیمار: در بیماران بسیار چاق، کیفیت تصاویر ممکن است به دلیل نفوذ ضعیف امواج صوتی کاهش یابد. همچنین وجود گاز زیاد در روده‌ها می‌تواند مانع از مشاهده واضح عروق شکمی شود.25
  • عدم عبور از استخوان و هوا: امواج صوتی نمی‌توانند از استخوان یا هوا عبور کنند، بنابراین ارزیابی عروق در مناطقی که توسط استخوان (مانند جمجمه) یا ریه پوشیده شده‌اند، با محدودیت همراه است.

 

نتیجه‌گیری: ابزاری قدرتمند برای تشخیص دقیق و ایمن

 

سونوگرافی داپلر از یک ابزار مکمل به یک جزء ضروری و جدایی‌ناپذیر در تشخیص و مدیریت بیماری‌های مرتبط با سیستم گردش خون تبدیل شده است. توانایی این فناوری در به تصویر کشیدن دنیای پویای درون رگ‌های خونی، به پزشکان قدرتی بی‌نظیر برای تشخیص زودهنگام، درمان دقیق‌تر و در نهایت، بهبود کیفیت زندگی و نجات جان بیماران بخشیده است. انتخاب یک دستگاه با کیفیت که بتواند تصاویر واضح و دقیقی ارائه دهد، برای بهره‌برداری کامل از این تکنولوژی حیاتی است.

برای کسب اطلاعات بیشتر در مورد انواع دستگاه‌ها و انتخاب بهترین گزینه برای کلینیک خود، می‌توانید به صفحه تخصصی سونوگرافی داپلر مراجعه کرده و با کارشناسان ما مشورت نمایید.

دیدگاهتان را بنویسید

نشانی ایمیل شما منتشر نخواهد شد. بخش‌های موردنیاز علامت‌گذاری شده‌اند *