29 آبان دستگاه رادیولوژی انقلاب در تصویربرداری پزشکی؛ بررسی جامع تفاوت رادیولوژی دیجیتال و رادیولوژی معمولی 1404-09-01 توسط zakariakabir_admin 0 نظر از زمانی که ویلهلم رونتگن در سال ۱۸۹۵ اشعه ایکس را کشف کرد، دنیای پزشکی متحول شد. برای بیش از یک قرن، تصاویر رادیوگرافی بر روی فیلمهای... ادامه مطلب
27 آبان دستگاه سونوگرافی راهنمای جامع تفاوت سونوگرافی دوبعدی، سهبعدی و چهاربعدی؛ کدام یک برای شما مناسب است؟ 1404-09-01 توسط zakariakabir_admin 0 نظر بارداری دورانی پر از هیجان، انتظار و البته پرسشهای بیپایان است. یکی از شیرینترین لحظات این دوران، اولین باری است که والدین تصویر جنی... ادامه مطلب
24 آبان دستگاه رادیولوژی خطرات رادیولوژیک، مکانیسمهای آسیب سلولی 1404-09-01 توسط zakariakabir_admin 0 نظر ۱. مقدمه: پارادوکس رادیولوژی و ضرورت بازنگری در ایمنی ورود پرتوهای یونساز به عرصه پزشکی، که با کشف تاریخی اشعه ایکس توسط ویله... ادامه مطلب
16 آبان دستگاه سونوگرافی خطرات سونوگرافی 1404-09-01 توسط zakariakabir_admin 0 نظر در دنیای امروز، سونوگرافی یکی از اساسیترین ابزارهای تشخیصی در پزشکی مدرن است. تقریباً در هر بیمارستان و کلینیکی، از این فناوری برای بر... ادامه مطلب
26 مهر دستگاه سونوگرافی راز یک تصویر واضح: راهنمای انتخاب پروب سونوگرافی مناسب برای دامپزشکی 1404-08-10 توسط zakariakabir_admin 0 نظر در دنیای دامپزشکی، یک تصویر تشخیصی واضح میتواند تفاوت میان یک تشخیص سریع و دقیق با یک مسیر درمانی نامشخص و پر از تردید را رقم بزند. دس... ادامه مطلب
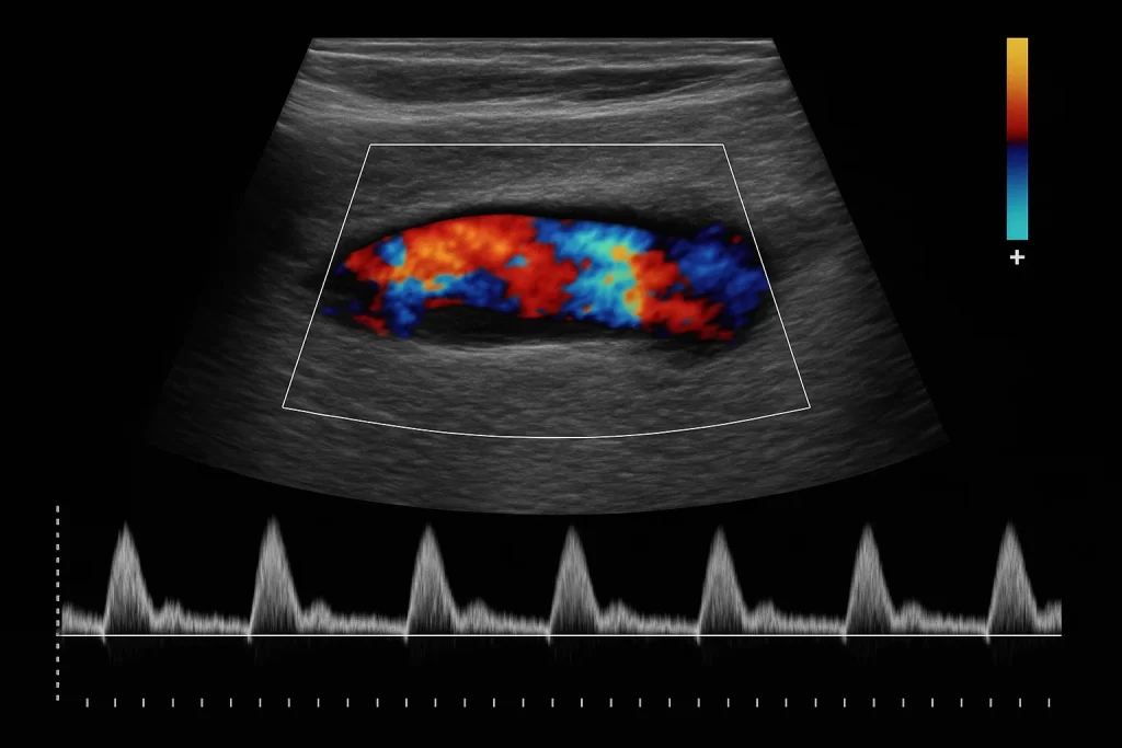
23 مهر دستگاه سونوگرافی سونوگرافی داپلر چیست و چه کاربردهایی در پزشکی مدرن دارد؟ 1404-08-10 توسط zakariakabir_admin 0 نظر در دنیای شگفتانگیز تصویربرداری پزشکی، سونوگرافی استاندارد به مثابه یک پنجره شفاف به داخل بدن انسان عمل میکند. این فناوری به پزشکان اج... ادامه مطلب
18 مهر دستگاه رادیولوژی اقدامات ضروری قبل از رادیولوژی در حیوانات 1404-09-01 توسط zakariakabir_admin 0 نظر وقتی دامپزشک اعلام میکند که پت دلبند شما (سگ، گربه یا حیوانات اگزوتیک) نیاز به عکسبرداری با اشعه ایکس دارد، طبیعی است که نگران شوید. ... ادامه مطلب
15 مهر دستگاه سونوگرافی راهنمای خرید دستگاه سونوگرافی دامی: ۷ نکته کلیدی برای دامپزشکان 1404-07-15 توسط zakariakabir_admin 0 نظر سونوگرافی به یکی از ضروریترین و قدرتمندترین ابزارهای تشخیصی در دامپزشکی مدرن تبدیل شده است. این فناوری غیرتهاجمی، بدون استفاده از اشعه... ادامه مطلب
09 مهر دستگاه سونوگرافی راهنمای کامل خرید دستگاه سونوگرافی برای کلینیکهای تازهتأسیس؛ سرمایهگذاری هوشمندانه 1404-09-01 توسط zakariakabir_admin 0 نظر تأسیس یک کلینیک جدید، مسیری پرچالش اما هیجانانگیز است. در میان انبوهی از تصمیمات مدیریتی و تجهیزاتی، شاید هیچ تصمیمی به اندازه انتخاب ... ادامه مطلب
05 مهر دستگاه رادیولوژی عوارض داروهای تصویربرداری؛ راهنمای جامع شناخت خطرات و پیشگیری در CT و MRI 1404-09-01 توسط zakariakabir_admin 0 نظر در دنیای پزشکی مدرن، تشخیص دقیق بیماریها بدون تکنولوژیهای پیشرفتهای مانند سیتیاسکن (CT Scan) و امرایآی (MRI) تقریباً غیرممکن است... ادامه مطلب